중년눈성형
JAYJUN PLASTIC SURGERY
제이준 하안검 수술
눈 아래 피부에 전체적인 절개를 통해서 늘어진 피부를 제거하고,
불룩 튀어나오고 처진 지방을 제거 또는 재배치를 동시에 진행하는 수술
피부 늘어짐이 심하고 주름이 많은 50~70대에 적합한
눈밑 주름개선 수술
수술시간1시간
마취방법수면마취, 국소마취
입원여부당일 퇴원
실밥제거5~7일
회복기간실밥 제거 후 일상생활
개인의 상태에 따라 출혈, 멍 등
부작용이 발생할 수 있으며
회복기간이 다를 수 있습니다

제이준 하안검 수술
수술대상
01
눈 밑에 주름이 심해 그늘져 보이는 경우
02
눈 밑이 불룩하거나 처져 내려온 경우
03
피부 처짐이 심해 나이보다 더 들어 보이는 경우

제이준 하안검 수술
수술방법
01

늘어진 피부 상태와 지방의 모양을 고려하여 제거할 피부의 양을 결정하고 디자인
02

눈 아래 속눈썹라인에 가까운 부분을 절개하여 늘어지고 불필요한 피부와 지방을 제거하고 남은 지방은 재배치
03

늘어진 근육을 골막에 고정하여 주름을 제거 후 봉합
04

밝고 탄력있는 눈 밑 완성
제이준 하안검 수술
하안검 수술의 특징
point 01
부드럽고 또렷한 인상
불룩한 지방으로 그늘진 눈 밑과 잔주름까지 동시에 개선되어 부드럽고 또렷한 인상
point 02
보이지 않는 흉터
눈 밑 속눈썹 아래 미세절개로 흉터걱정을 줄임
point 03
젊어 보이는 동안효과
눈밑 지방 재배치를 해줌으로써 눈밑에 적당한 볼륨 완성

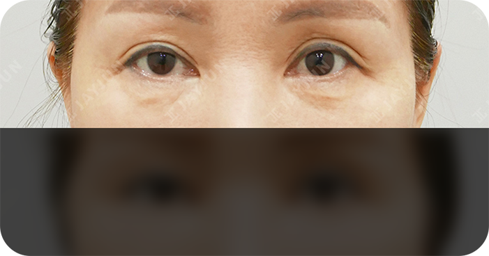
제이준 하안검 수술
전후사진
이미지를 클릭하시면 수술전후 사진을 확인할 수 있습니다.
제이준 성형외과 눈성형의 특별함
아름다움의 기준, 당신의 제이준
개인별 1:1 맞춤 눈성형
눈과 얼굴의 균형과 조화를 고려하여
가장 이상적인 수술방법 적용

전문적인 협진 시스템
진료의사, 수술센터, 코디팀, 치료센터
전문적이고 체계적인 구성으로
상담부터 수술 후 케어까지 안전하게

부기/흉터 최소화, 빠른 회복
숙련된 전문의 시술로 적은 부기,
빠른 일상생활로 복귀를 위한
전문 관리사의 후 관리 프로그램

만족도가 높은 눈성형
결과에 책임을 지겠다는 생각으로
수술에 임하는 전문의
높은 만족도와 낮은 재수술 비율

연구하는 전문 의료진
제이준성형외과 전문의의
섬세하고 정확한 수술 노하우로
만족스러운 수술 결과 선사

1:1 전담 마취 시스템
마취통증의학과 전문의 상주로
수술 중 책임 전담 마취를 시행,
안전을 위한 응급상황 대체 시스템
