중년눈성형
JAYJUN PLASTIC SURGERY
제이준 눈썹밑거상술
노화가 진행되면서 눈썹과 눈꺼풀의 위치가 아래쪽으로 처지게 된다
눈썹의 아래를 절개하여 처진 피부를 당겨주는 수술
쌍꺼풀 수술 없이 효과적으로 피부가 늘어나기 전의
눈 모양으로 되돌릴 수 있다는 장점
수술시간30분~40분
마취방법수면마취, 국소마취
입원여부당일 퇴원
실밥제거5~7일
회복기간실밥 제거 후 일상생활
개인의 상태에 따라 출혈, 멍 등
부작용이 발생할 수 있으며
회복기간이 다를 수 있습니다

제이준 눈썹밑거상술
수술대상
01
기존 쌍꺼풀 라인은 그대로 유지하고 처진 피부만 개선을 원하는 경우
02
처진 눈꺼풀로 인하여 시야를 가리는 경우
03
노화로 인해 피부 탄력이 떨어져 눈꺼풀이 아래로 처지는 경우
04
늘어진 눈꺼풀로 짓무르거나 속눈썹이 눈을 찌르는 경우

제이준 눈썹밑거상술
수술방법
01

눈썹 아래 부분 최소 절개
02

처진 눈꺼풀을 잡아 위로 당김
03

처짐 재발을 방지를 위해 뼈막에 단단하게 고정 후 미세 봉합으로 마무리
제이준 눈썹밑거상술
눈썹밑거상술의 특징
point 01
보이지 않는 흉터
눈썹 경계 부분을 절개하기 때문에 거의 눈에 띄지 않는 흉터
point 02
자연스러운 인상
눈매는 자연스럽게, 주름은 확실하게 개선
point 03
쌍꺼풀 라인 유지
본인의 쌍꺼풀 라인을 유지하면서 교정 가능
point 04
빠른 회복
눈을 직접 건드리는 수술이 아니기 때문에 적은 부기와 빠른 회복

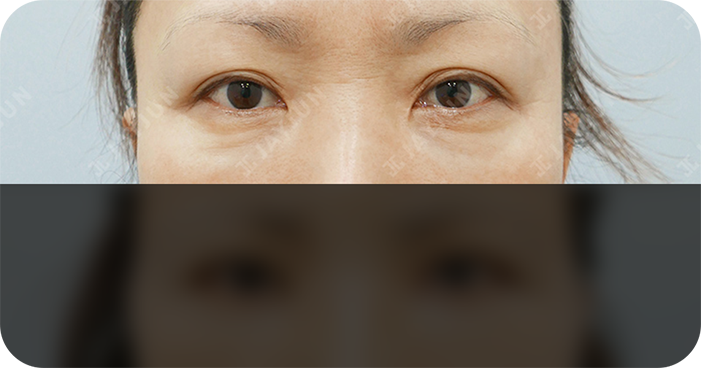
제이준 눈썹밑거상술
전후사진
이미지를 클릭하시면 수술전후 사진을 확인할 수 있습니다.
제이준 성형외과 눈성형의 특별함
아름다움의 기준, 당신의 제이준
개인별 1:1 맞춤 눈성형
눈과 얼굴의 균형과 조화를 고려하여
가장 이상적인 수술방법 적용

전문적인 협진 시스템
진료의사, 수술센터, 코디팀, 치료센터
전문적이고 체계적인 구성으로
상담부터 수술 후 케어까지 안전하게

부기/흉터 최소화, 빠른 회복
숙련된 전문의 시술로 적은 부기,
빠른 일상생활로 복귀를 위한
전문 관리사의 후 관리 프로그램

만족도가 높은 눈성형
결과에 책임을 지겠다는 생각으로
수술에 임하는 전문의
높은 만족도와 낮은 재수술 비율

연구하는 전문 의료진
제이준성형외과 전문의의
섬세하고 정확한 수술 노하우로
만족스러운 수술 결과 선사

1:1 전담 마취 시스템
마취통증의학과 전문의 상주로
수술 중 책임 전담 마취를 시행,
안전을 위한 응급상황 대체 시스템
